Thiếu máu não cục bộ là một tình trạng y tế nghiêm trọng, thường gặp ở nhiều lứa tuổi, nhưng đã có sự gia tăng đáng kể trong số lượng người trẻ mắc phải. Tình trạng này không chỉ ảnh hưởng đến sức khỏe mà còn tác động lớn đến chất lượng cuộc sống. Việc hiểu rõ về nguyên nhân, dấu hiệu nhận biết và cách phòng ngừa sẽ giúp người trẻ bảo vệ tốt hơn cho sức khỏe của mình.
Thiếu máu não cục bộ thoáng qua ở tuổi trẻ: Nguy cơ và biện pháp phòng ngừa
Thiếu máu não cục bộ thoáng qua (TIA) là một dạng thiếu máu não mà trong đó, lưu lượng máu đến não bị giảm đột ngột trong một khoảng thời gian ngắn, thường không vượt quá 24 giờ. Điều này có thể dẫn đến những triệu chứng giống như đột quỵ, nhưng không gây ra tổn thương vĩnh viễn. Tuy nhiên, điều quan trọng là nhận thức rằng TIA có thể là một dấu hiệu báo trước của một cơn đột quỵ thực sự trong tương lai.
Những nguyên nhân chính gây thiếu máu não cục bộ ở người trẻ
Một số nguyên nhân chính mà người trẻ có thể gặp phải bao gồm:
- Rối loạn nội tiết: Những thay đổi trong hormone có thể ảnh hưởng đến tuần hoàn máu.
- Tăng huyết áp: Đây là một trong những yếu tố nguy cơ hàng đầu dẫn đến TIA.
- Béo phì: Lượng mỡ thừa trong cơ thể có thể làm giảm lưu lượng máu đến não.
- Hút thuốc: Hút thuốc lá làm hẹp mạch máu và ảnh hưởng tiêu cực đến tuần hoàn máu.
Người trẻ cần chú ý đến các yếu tố nguy cơ này để phòng ngừa TIA cũng như đột quỵ.
Theo dõi Fanpage Dược Phẩm Famax để nhận tư vấn và thông tin hàng ngày
Triệu chứng của thiếu máu não thoáng qua
Các triệu chứng của thiếu máu não cục bộ thoáng qua thường xuất hiện đột ngột và kéo dài dưới 24 giờ. Một số triệu chứng điển hình bao gồm:
- Yếu một bên cơ thể: Cảm giác yếu hoặc tê ở tay hoặc chân.
- Khó nói: Nói lắp bắp hoặc không thể nói.
- Rối loạn thị giác: Nhìn mờ hoặc mất thị lực tạm thời ở một mắt.
- Đau đầu dữ dội: Cảm giác đau đầu không bình thường.
Ngoài ra, nếu thấy người xung quanh có dấu hiệu như vậy, hãy nhanh chóng đưa họ đến bệnh viện gần nhất.
Biện pháp phòng ngừa thiếu máu não cục bộ
Để ngăn ngừa thiếu máu não cục bộ, người trẻ nên:
- Duy trì cân nặng hợp lý: Thực hiện chế độ ăn uống lành mạnh và tập luyện thể thao đều đặn.
- Kiểm tra sức khỏe định kỳ: Theo dõi huyết áp và mức cholesterol thường xuyên.
- Tránh xa thuốc lá và rượu bia: Người trẻ cần nhận thức rõ ràng về tác hại của thuốc lá và rượu bia đối với sức khỏe tim mạch.
- Giảm căng thẳng: Áp dụng các phương pháp thư giãn như yoga hoặc thiền.
Việc chủ động thực hiện những biện pháp này sẽ giúp giảm thiểu nguy cơ mắc phải thiếu máu não cục bộ trong tương lai.

Cách nhận biết thiếu máu não cục bộ và dấu hiệu cảnh báo
Nhận biết sớm các dấu hiệu của thiếu máu não cục bộ là rất quan trọng. Khi phát hiện sớm, việc can thiệp kịp thời sẽ giúp giảm khả năng xảy ra đột quỵ hoặc các biến chứng nghiêm trọng khác.
Dấu hiệu cảnh báo thiếu máu não cục bộ
Người trẻ nên chú ý đến các dấu hiệu cảnh báo sau đây:
- Yếu đa phần cơ thể: Đặc biệt là vùng mặt, tay hoặc chân.
- Khó khăn khi nói chuyện: Xuất hiện vấn đề trong việc phát âm hoặc diễn đạt câu chữ.
- Rối loạn thị giác: Có cảm giác mờ mắt, đặc biệt là khi nhìn vào một bên.
- Cảm giác chóng mặt: Cảm giác không ổn định hoặc mất thăng bằng.
Nếu bạn hoặc người thân gặp phải bất kỳ triệu chứng nào trong số này, hãy tìm kiếm sự trợ giúp y tế ngay lập tức.
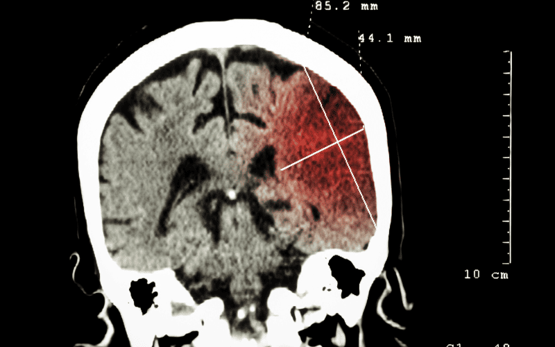
Các phương pháp chẩn đoán thiếu máu não cục bộ
Có nhiều phương pháp được sử dụng để chẩn đoán thiếu máu não:
- CT scan hoặc MRI: Giúp hình ảnh hóa não bộ và phát hiện tổn thương hoặc triệu chứng liên quan.
- Siêu âm Doppler: Sử dụng sóng âm để kiểm tra lưu lượng máu trong mạch máu.
- Xét nghiệm máu: Đánh giá các chỉ số về huyết áp, cholesterol và đường huyết.
Những phương pháp chẩn đoán này giúp bác sĩ có cái nhìn chi tiết hơn về tình hình sức khỏe của bệnh nhân.
Tầm quan trọng của việc theo dõi sức khỏe
Người trẻ thường có tâm ly chủ quan, nghĩ rằng mình còn trẻ nên sức khỏe luôn tốt. Tuy nhiên, việc theo dõi sức khỏe định kỳ là điều cần thiết. Việc kiểm tra sức khỏe không chỉ giúp phát hiện sớm các vấn đề về sức khỏe mà còn tạo cơ hội cho người trẻ cải thiện lối sống.
Hãy nhớ rằng, sức khỏe là tài sản quý giá nhất của mỗi người. Việc đầu tư thời gian và công sức vào việc chăm sóc bản thân hôm nay sẽ mang lại lợi ích lâu dài trong tương lai.
Chế độ dinh dưỡng cho người bị thiếu máu não cục bộ
Chế độ dinh dưỡng đóng vai trò vô cùng quan trọng trong việc phòng ngừa và điều trị thiếu máu não. Một chế độ ăn uống hợp lý không chỉ cung cấp đủ dưỡng chất cho cơ thể mà còn giúp tăng cường sức khỏe tim mạch.
Thiếu máu não nên ăn gì?
Người bị thiếu máu não nên chú ý đến các nhóm thực phẩm sau:
- Thực phẩm giàu omega-3: Cá hồi, cá thu và các loại hạt như hạt chia, hạt lanh. Omega-3 có tác dụng làm giảm viêm và cải thiện lưu thông máu.
- Giàu chất xơ: Rau xanh, trái cây và ngũ cốc nguyên hạt. Chất xơ giúp kiểm soát cholesterol và huyết áp.
- Thực phẩm chống oxy hóa: Trái cây màu sắc như việt quất, dâu tây và rau lá xanh như cải kale có khả năng chống lại stress oxy hóa, bảo vệ tế bào não.
- Sữa và các sản phẩm từ sữa ít béo: Chúng cung cấp canxi và vitamin D, rất cần thiết cho sức khỏe xương và tim mạch.

Mỗi bữa ăn nên bao gồm đa dạng các nhóm thực phẩm để đảm bảo cung cấp đầy đủ dưỡng chất cho cơ thể.
Các thực phẩm cần tránh
Người trẻ cần hạn chế hoặc tránh xa những thực phẩm sau:
- Thực phẩm chứa nhiều đường: Bánh ngọt, đồ uống có ga có thể gây tăng cân nhanh chóng và ảnh hưởng xấu đến sức khỏe.
- Thức ăn nhanh: Nhiều dầu mỡ, muối và đường, dễ dàng dẫn đến tăng huyết áp và cholesterol.
- Nước có ga và nước ngọt: Chứa nhiều calo rỗng và gây tăng cân, ảnh hưởng đến sức khỏe tim mạch.
- Alcolhol: Uống rượu có thể làm tăng huyết áp và gây tổn thương cho mạch máu.
Lập kế hoạch dinh dưỡng hợp lý
Để duy trì một chế độ dinh dưỡng lành mạnh, người trẻ có thể áp dụng các bước sau:
- Lên kế hoạch bữa ăn: Xác định trước các món ăn trong tuần, giúp tiết kiệm thời gian và tiền bạc.
- Chuẩn bị thực phẩm tại nhà: Giảm thiểu chi phí và kiểm soát chất lượng thực phẩm.
- Uống đủ nước: Cung cấp nước cho cơ thể là rất quan trọng để duy trì sức khỏe.
Việc thực hiện các biện pháp này không chỉ giúp cải thiện tình trạng sức khỏe mà còn mang lại một lối sống tích cực hơn cho người trẻ.
Thiếu máu não cục bộ, đặc biệt là ở người trẻ, đang trở thành một vấn đề đáng lo ngại. Việc nhận thức rõ về nguyên nhân, triệu chứng và các biện pháp phòng ngừa là rất quan trọng. Một chế độ dinh dưỡng hợp lý cùng với các thói quen sinh hoạt lành mạnh cần được ưu tiên hàng đầu. Hãy chú ý đến sức khỏe của bản thân để có thể sống vui vẻ và tràn đầy năng lượng trong tương lai.






